Is Black Dot On Tooth A Cavity. Here are some other symptoms to. Is the black dot on my tooth a cavity?
Do I have a cavity in my first mollar? It looks like a from www.reddit.com
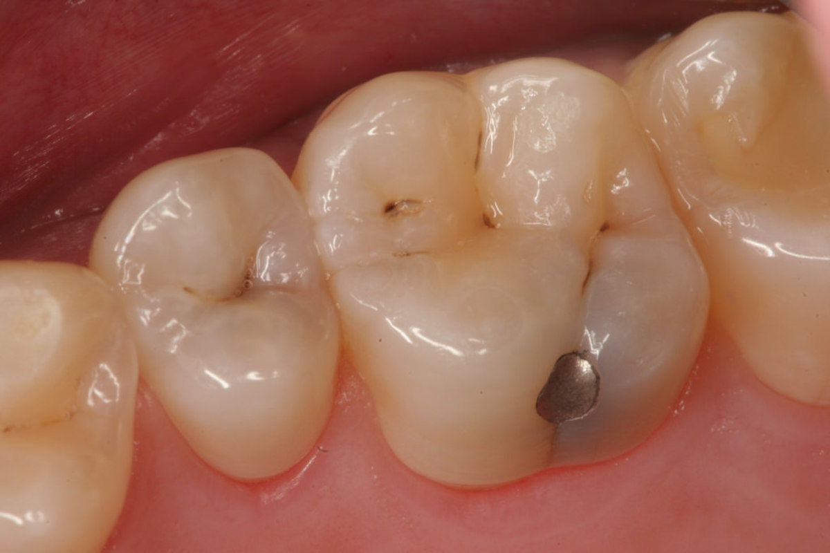
At times, you may notice tooth decay if your tooth has a dark spot. Occasionally, such dark spots could be only stains due to food or drinks. It is a perfect way on how to tell if you have a cavity.
Does A Black Dot On A Tooth Mean My Dog Has A Cavity?
The tiny black dot could be one of many things, from a stain to a cavity. A hole in the tooth’s protective layer sometimes shows as a black dot. Is a black spot on tooth a cavity?
The Black Spot You See On Your Teeth Is The Cavity.
Black spots can be an indication of a serious tooth health problem, such as including damaged tooth enamel, tooth decay, or the start of a cavity, so contact your dentist as soon as possible if you notice a dark spot developing. Given time, sugar, and bacteria those stains. The brown, black, or grey spot on the teeth is a sign of a cavity, while the discoloration of teeth is a stain.
Depending On The Case, The Line Might Be Solid Or Dashed, Several Disconnected Black Dots Or A Thick Line.
It is a perfect way on how to tell if you have a cavity. However, the cavity damages the teeth. Cavities form as acid and bacteria in the mouth wear down the surface of your tooth, called the enamel.
Some Of The Most Common Causes Of A Black Or Brown Spot On Your Tooth May Be Due To The Following:
A cavity is the hole that develops as this protective layer of your tooth breaks down. Doctors your own question and get educational, text answers — it's anonymous and free! These black lines on teeth are actually just.
At This Point, Your Tooth Has Decayed By A Great Amount So You Will Need To Have It Treated By A Dentist.
A cavity presents itself with a brown, black or gray spot on your tooth. Tooth decay or a cavity; A stain, on the other hand, is a discoloration caused by drinks and food.
What Is Soul Quotes . * the soul, then, is the entire creature, not something inside that survives the death of the body. “a beautiful soul is never forgotten.”. Pin on Personality INFJ from www.pinterest.com Those who hold to trichotomy will usually agree that the “soul” can sin since they think that the. (at around 37 mins) when joe gets into the cat soul they wonder what happened to its actual soul. “let your soul shine as bright as the sun.”.
What Does Thorium Decay Into . A nucleus of uranium 238 decays by alpha emission to form a daughter nucleus, thorium 234. Click to see full answer similarly one may ask, what does uranium decay into? What is Alpha Decay? Definition Equation Example RankRed from www.rankred.com A nucleus of uranium 238 decays by alpha emission to form a daughter nucleus, thorium 234. This is answered comprehensively here. Click to see full answer similarly one may ask, what does uranium decay into?
Decay Equation Half Life . Then, a = 800 (1/2) 30000/6000. Suppose we look at a sample at a specific time t 1 > 0 and then at a later time t 2 > t 1. What is the halflife of a firstorder reaction with a from socratic.org The differential equation of radioactive decay formula is defined as. So, when we’re dealing with half life specifically, instead of exponential decay in general, we can use this formula we got from substituting y = c / 2 y=c/2 y = c / 2. If playback doesn't begin shortly, try restarting your device.
Komentar
Posting Komentar